ADVANCED IMAGING CENTER
PHYSICIAN NEWS

October 10, 2003

“OMENTAL CAKE” SIGN OF PERITONEAL METASTASIS

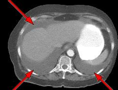
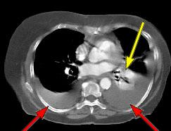
Fig.1 Fig.2 Fig.3

CLINICAL PRESENTATION: This 70-year-old female presented to the office of Dr. Ric Garrison and Dr. Terri Henry* with symptoms of shortness of breath, loss of appetite, and swollen abdomen. A helical CT of the chest, abdomen, and pelvis with/without contrast was requested. Patient has had prior hysterectomy without oophrectomy.

HELICAL CT FINDINGS: The CT was performed on AIC’s multi-slice helical CT (MSCT) scanner. Images with 5 mm collimation were obtained before, immediately following and 5-10 minutes after power injection of IV contrast. Fig. 1 demonstrates large bilateral pleural effusions (red arrows) with secondary compressive atelectasis of the lower lobes (yellow arrow). Fig. 2 shows large amount of ascites (arrows). Fig. 3 shows a large heterogeneous complex pelvic mass (blue arrow) and a large amount of peritoneal masses consistent with omental metastasis known as “omental caking” (green arrows).

DIAGNOSIS: The CT images are suggestive of ovarian carcinoma and metastatic peritoneal implants.

DISCUSSION:Omental cake” is a description given to thickening of the greater omentum secondary to omental peritoneal metastasis. Other forms of peritoneal metastasis include mesenteric increased density and networking, lobulated mass in the pouch of Douglas, adnexal mass of cystic or soft tissue density (“Krukenberg tumor”), lobulated fluid collection in peritoneal cavity, massive ascites. Krukenberg tumor is a metastatic tumor to the ovaries from GI tract cancer (stomach, colon, pancreas, and biliary tract). It can antedate the discovery of the primary lesion in up to 20%.

Ovarian cancer is the 3rd most common cause of gynecological malignancy with the highest mortality rate of all female cancers (60%).

For more information, you may call me at (661) 949-8111 or Drs. Garrison or Henry at (661) 947-7100.

Ray H. Hashemi, M.D., Ph.D.
Director

* Drs. Ric Garrison, MD and Terri Henry, MD are internists in Palmdale, California.


| Home Page | Procedures | Certification | Radiologists | News Releases | FAQs | About Us | Location | Contact Us | 3D Gallery | Glossary | Frames |


ADVANCED IMAGING CENTER
43731 N. 15th Street West, Lancaster, CA 93534
Phone (661) 949-8111 - Fax (661) 949-6600